進行した歯周病で失った前歯のきれいなインプラント治療 (福岡市城南区)
2016年01月5日
前歯のインプラント治療を行った方の術前術後です。

お顔立ちもこれくらい変化します。
しっかりした噛み合わせと本来の形の歯がお口に入ると、筋肉も自然の状態に回復しお顔立ちも左右対称に変化します。

この方の初めて来院された時のお写真です。

今まで歯科に行ってはどうにもならないと言われてきた患者さんです。
歯磨き指導などは今まで受けたことがなくこのまま悪くなるのを待つだけと言われていたそうです。
レントゲン写真ですが歯周病の重度の進行があります。

まず大事なのは、きちんと歯磨き出来る様にすることです。
だいぶ歯茎が引き締まってきました。
治療中は歯がないわけにはいきませんので、一時的な入れ歯で見た目は問題ない様にしておきます。

ここからどの様なお口の中にするのか、診断用ワックスアップというものを作って治療の設計図を作ります

この様なお口の中にするというのを治療前に決めます。
何となく治療して結果的にきれいになるということはありません。
あったとしても膨大な時間がかかります。
設計図を作ることが結果的に正確にスピーディーに治療を進行していく上でとても大切です。
この方は設計図の中で矯正治療が必要でしたので、インプラント治療の前に矯正治療を行います。

矯正治療のめどが立ち、インプラント治療の準備をしていきます。
インプラント治療を行う際はレントゲンCTが必須です。
CTでインプラントの入る骨の厚みがあるのか調べます。

レントゲンCTを分析し、インプラント治療を行う位置を決めていきます。
その通りの位置にインプラント治療を行います。
位置がずれていたりすると見た目もおかしな歯になってしまいます。

想定していた位置にインプラント治療ができました。
インプラント治療を行ったのち仮歯を作ります。

仮歯でしばらく噛み心地を確認してもらった後、セラミックの歯に置き換えていきます。

患者さんはとても満足され、見た目も良く何でも噛むことができる様になりました。
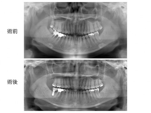
レントゲン写真です。
噛み合わせもしっかり安定しています。

この様に事前にしっかりと計画を立て、無理のない治療を施術すると思い描いた通りのお口を作ることができるのです。
528000円(インプラントガイド、インプラント埋入手術、プロビジョナルレストレーション、オールセラミッククラウン)
デメリットとして、インプラントは清掃不良や噛み合わせの力が強くかかるとインプラント周囲炎を起こす可能性があり、インプラントとオールセラミッククラウンを固定しているスクリューが緩む可能性もある。
















