ダイレクトボンディングで白い歯に
2014年04月13日
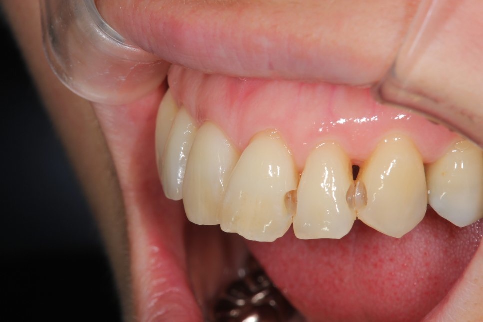
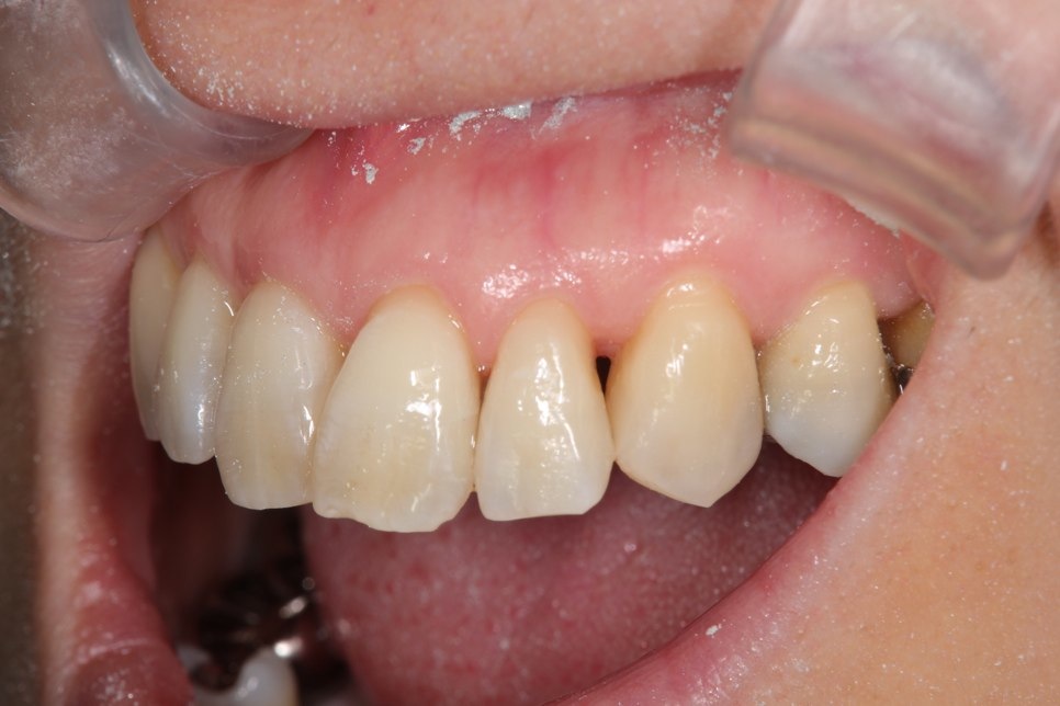
左右のダイレクトボンディング
費用5万円×4本
リスクとして欠ける可能性がある(修復可能)。
オンライン診察予約
詳しいご相談内容のある方はお電話にてご予約をお願いします

〒814-0101 福岡県福岡市城南区荒江1-32-16(早良区とも近い歯医者)
2014年04月13日
左右のダイレクトボンディング
費用5万円×4本
リスクとして欠ける可能性がある(修復可能)。
2014年04月13日
ダイレクトボンディング
費用2万円×4本
リスクとして欠ける可能性がある(修復可能)。
2014年04月13日
右下のダイレクトボンディング
費用5万円×2本
リスクとして欠ける可能性がある(修復可能)。
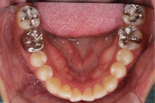
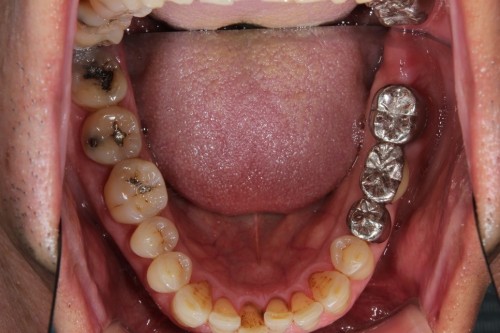
2014年04月13日
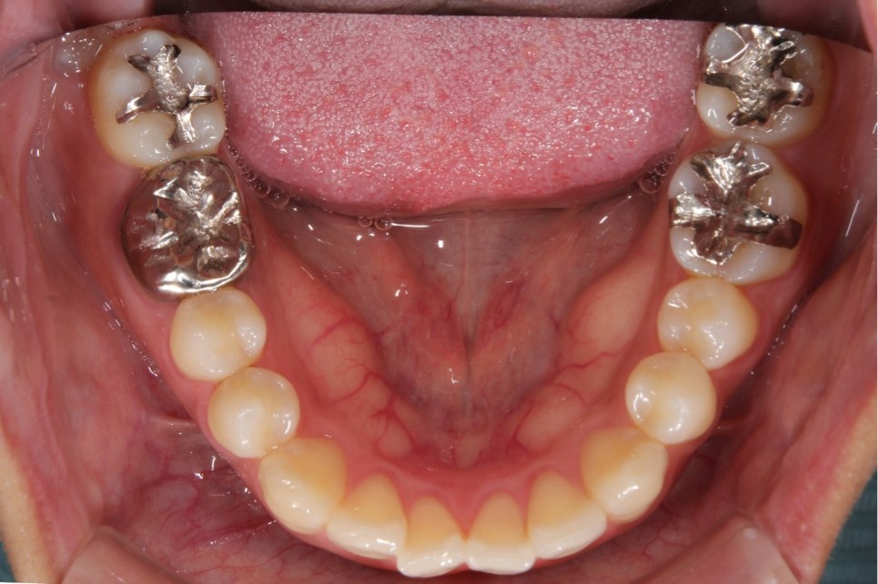
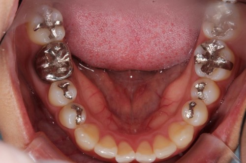
銀歯を白くするだけでずいぶんとイメージが変わります。
左右のダイレクトボンディング
費用5万円×4本
リスクとして欠ける可能性がある(修復可能)。
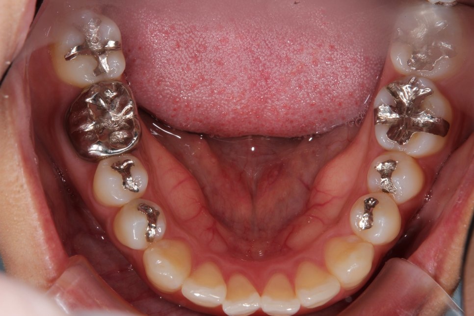
2014年04月13日
銀歯から白い詰め物(ダイレクトボンディング)。
着色部もきれいになり大変満足頂きました。
左右のダイレクトボンディング
費用5万円かける2本
リスクとして欠ける可能性がある(修復可能)。
2014年04月13日
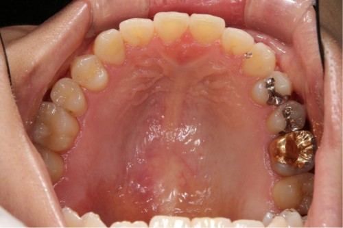
銀歯を白い詰め物に変えました。
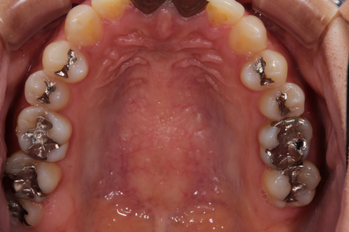
左上は虫歯が大きかったのでゴールドインレーで対応してます。見た目はあまり良くありませんが、ゴールドが一番歴史があり信頼できる方法とも言えます。
ゴールドインレー
費用11万円
リスクとして見た目がよくない、汚れがつきやすいことがあげられる。
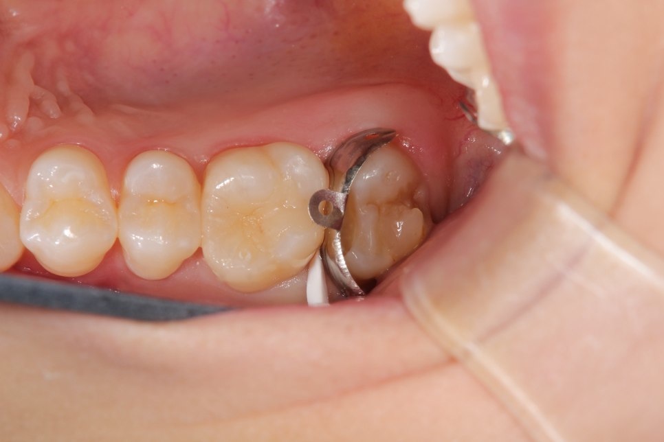
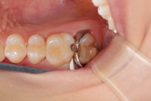
2014年04月13日
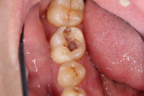
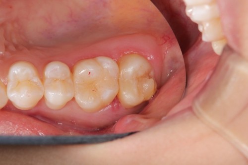
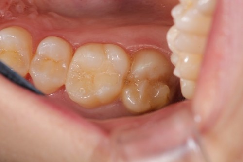
両奥に白い詰め物で治療してありますが、詰め物の周りが茶色に着色しています。また、本来の歯の形とはずいぶん違うみたいです。奥歯で噛んだ感じに違和感があるとの事でしたので、治療致しました。本来歯が持っている形をお口の中で作って行きます。
治療後です。どこを治療したのかわからないくらい『自然の歯』の様にできました。噛む時の違和感もなくなり、硬い物でも噛める様になりました。
左右奥歯のダイレクトボンディング
費用5万円×2本
リスクとして欠ける可能性がある(修復可能)。
2014年04月13日
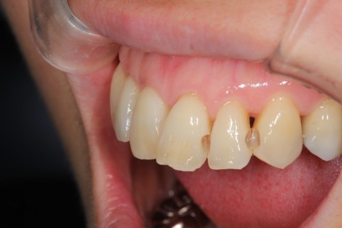
前歯の虫歯です。唾液の量が多い方や歯ぐきから出血がある方にはラバーダム防湿法を使います。このように緑色のゴムのシートを使用して、歯に唾液や血液が付かない様にします。
虫歯をとったところです。
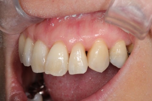
無事治療が終わりました。削った穴に唾液や血液が入り込むと接着力が低下してしまいます。今回、削った穴に汚れが付く事無く、審美的な治療が出来ました。
ダイレクトボンディング
費用2万円×2本
リスクとして変色や欠ける可能性がある(修復可能)。
2014年04月13日
奥歯がしみるとの事でした。一見分かりませんが拡大鏡で確認して行くと虫歯が見つかりました。
虫歯を取った状態です。虫歯のみを取っています。
ここにマトリックスという金属製の薄い器具を入れて行き歯の形をなるべく再現できる様にします。
治療後の状態です。通常の型とりをする治療だと今回の数倍歯を削る事になります。歯は削れば削る程、脆くなりますので治療する事で歯の寿命を縮める事にもなり兼ねません。今回、最小限度のダメージで回復できました。歯も長持ちする事でしょう。
ダイレクトボンディング
費用6万円
リスクとして欠ける可能性がある(修復可能)。
2014年04月13日
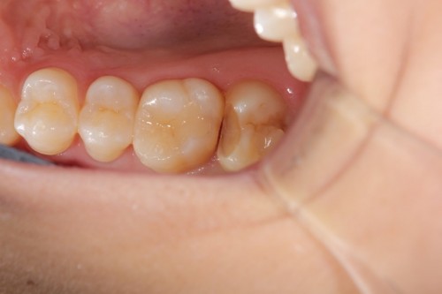
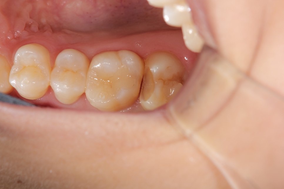
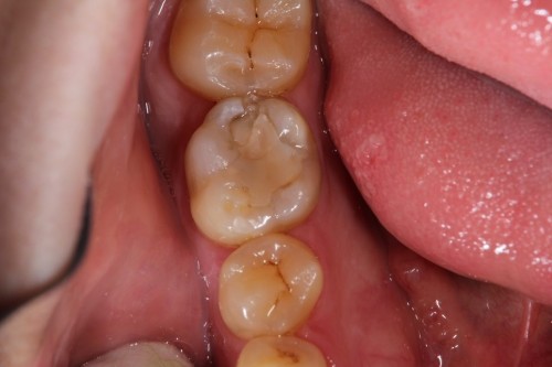
他院で数年前に治療した歯です。白い詰め物がしてありますが、詰め物の奥が虫歯になっております。
白い詰め物と虫歯になった歯のみを取り除きます。通常でしたら型とりを行い、健康な歯まで削って治療する事になります。今回は最小限度しか削ってません。
そしてハイブリッドレジンを詰めました。見た目も噛み心地も問題なく、歯を大きく削る事無く治療を終えました。
ダイレクトボンディング
費用6万円
リスクとして欠ける可能性がある(修復可能)。
当院では、患者様の歯に対するお悩み・ご希望を院長が直接お伺いする「個別相談」を実施しています。毎月人数は限定させていただいておりますが、お口のお悩みを何でもご相談いただけます。まずはメールもしくはお電話にて予約を取っていただきご来院ください。
〒814-0101 福岡県福岡市城南区荒江1-32-16
| 月 | 火 | 水 | 木 | 金 | 土 | 日 | 祝 | |
|---|---|---|---|---|---|---|---|---|
| 9:00~13:00 | ○ | ○ | ○ | –∗ | ○ | ○ | – | – |
| 14:00~18:00 | ○ | ○ | ○ | –∗ | ○ | –∗ | – | – |
※土曜日は16:30までの診療になります。
※祝日のある週の木曜日は18:00まで診療。
症例はこちらをご参照ください。