インプラント治療+審美歯科(セラミック)治療
2014年04月13日
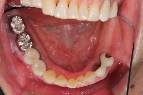
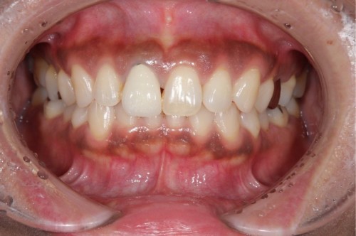
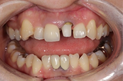
「治療前」
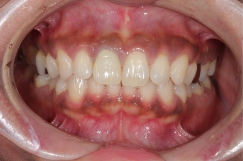
「治療後」
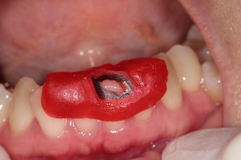
左下のインプラント治療
528000円×2(インプラントガイド、インプラント埋入手術、プロビジョナルレストレーション、オールセラミッククラウン)
デメリットとして、インプラントは清掃不良や噛み合わせの力が強くかかるとインプラント周囲炎を起こす可能性があり、インプラントとオールセラミッククラウンを固定しているスクリューが緩む可能性もある。
オンライン診察予約
詳しいご相談内容のある方はお電話にてご予約をお願いします

〒814-0101 福岡県福岡市城南区荒江1-32-16(早良区とも近い歯医者)
2014年04月13日
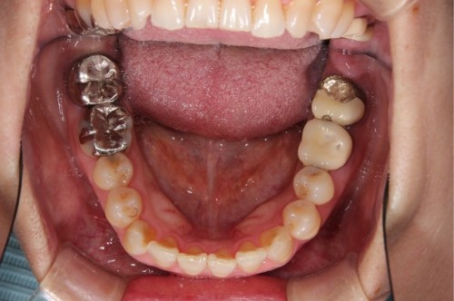
「治療前」
「治療後」
左下のインプラント治療
528000円×2(インプラントガイド、インプラント埋入手術、プロビジョナルレストレーション、オールセラミッククラウン)
デメリットとして、インプラントは清掃不良や噛み合わせの力が強くかかるとインプラント周囲炎を起こす可能性があり、インプラントとオールセラミッククラウンを固定しているスクリューが緩む可能性もある。
2014年04月13日
Normal
0
0
2
false
false
false
EN-US
JA
X-NONE
/* Style Definitions */
table.MsoNormalTable
{mso-style-name:標準の表;
mso-tstyle-rowband-size:0;
mso-tstyle-colband-size:0;
mso-style-noshow:yes;
mso-style-priority:99;
mso-style-parent:””;
mso-padding-alt:0mm 5.4pt 0mm 5.4pt;
mso-para-margin:0mm;
mso-para-margin-bottom:.0001pt;
mso-pagination:widow-orphan;
font-size:10.0pt;
font-family:”Times New Roman”,”serif”;
border:none;}
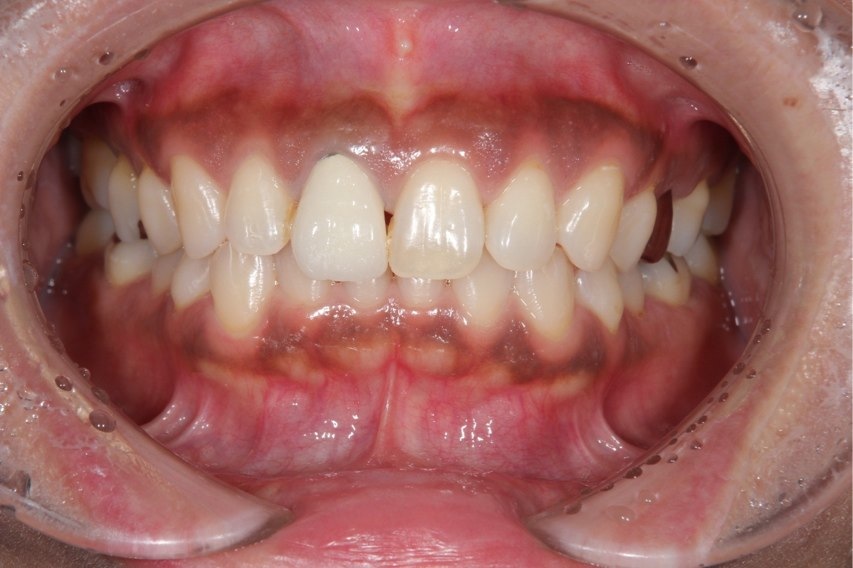
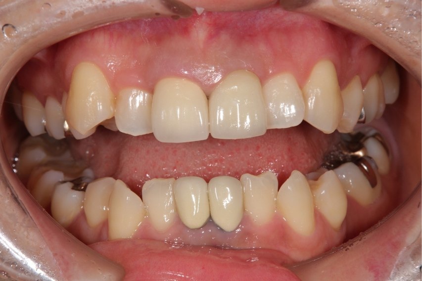
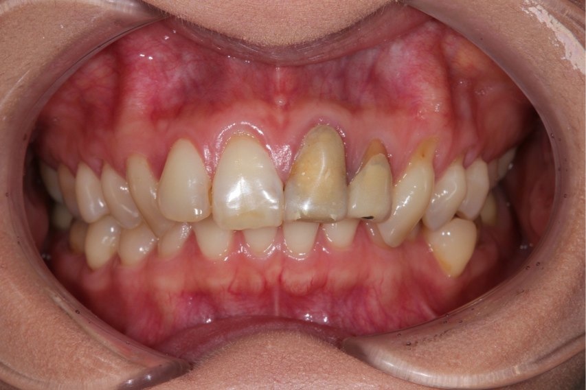
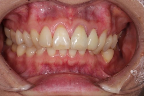
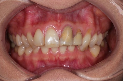
オールセラミックという差し歯を入れた患者様です。
はじめ『今入ってる歯が調子悪い』と言う事で来院されました。
Normal
0
0
2
false
false
false
EN-US
JA
X-NONE
/* Style Definitions */
table.MsoNormalTable
{mso-style-name:標準の表;
mso-tstyle-rowband-size:0;
mso-tstyle-colband-size:0;
mso-style-noshow:yes;
mso-style-priority:99;
mso-style-parent:””;
mso-padding-alt:0mm 5.4pt 0mm 5.4pt;
mso-para-margin:0mm;
mso-para-margin-bottom:.0001pt;
mso-pagination:widow-orphan;
font-size:10.0pt;
font-family:”Times New Roman”,”serif”;
border:none;}
歯を入れて10年以上経ってました。
私の目からすると、差し歯はあまり良い状態には見えません。
やはりこうなるのは原因があるのです。
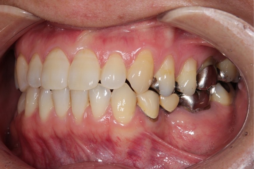
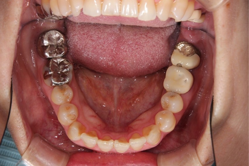
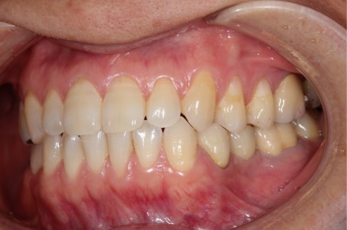
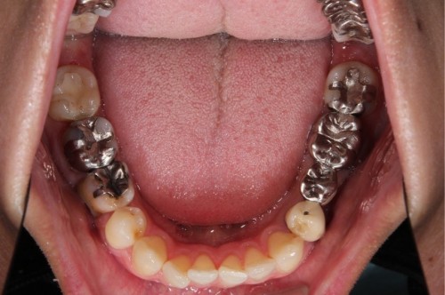
下の歯ですが、真っすぐな並びではないのはわかりますでしょうか?
歯並びが整っていないと特定の歯ばかりに負担がかかる可能性が高くなります。
この方は写真で見ると左側の下の前歯に他の歯より出っ張ってる箇所があります。
ここが上の歯に強く当たり、その負担で虫歯になっていったのだと考えられます。
そして、治療をしたが原因は取り除かれずまた悪くなっていった。
このようなパターンがすごく多いです。
歯科の治療は『何かあったら治療する』といった対症療法がほとんどです。
今でも原因をなくすといった治療法はあまりとられてません。
この方の最善の治療法は矯正をし、歯並び、かみ合わせを整えた後に差し歯を入れる方法です。
しかし、矯正歯科は多くの方が抵抗を持ってあり、この方も矯正歯科は拒否されました。
ただ、このまま治療を行うと原因の除去をしないまま差し歯が入る事になり、また壊れてしまう可能性が高くなります。
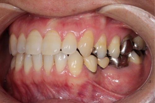
なので、こういった装置を用いて強く当たっている所を調整して、全体がまんべんなく当たるようなかみ合わせを作りました。
原因を取り除いた状態で差し歯を作ります。
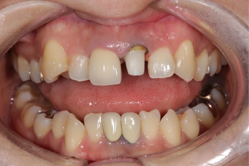
よく見る事ですが、差し歯の色が白すぎる場合があります。
昔は『金歯』がお金持ちの象徴でした。それが『金歯』から『白すぎる歯』になってるのかもしれません。
歯医者もそれをよしとしている様に思われます。それは、はっきり言っておかしいです。
やはり『その人固有の歯』が理想だと考えています。このようになるべく自然に感じる様に。
それでもこれを作った技工士は『もっとわからない様にしたい!』と言ってました。
歯科の世界でもこの差し歯はなかなか作れるものではありません。
一度作ったら二度と壊れない様に、細心の注意を払って作ってます。
それでも形あるものいつかは壊れる・・・自然の摂理でしょう。
それ以前に人工物を体に入れない様にするのが得策です。
私が関わる方が新たな人工物を口に入れなくて済む様にしていかなくてはと強く思います。
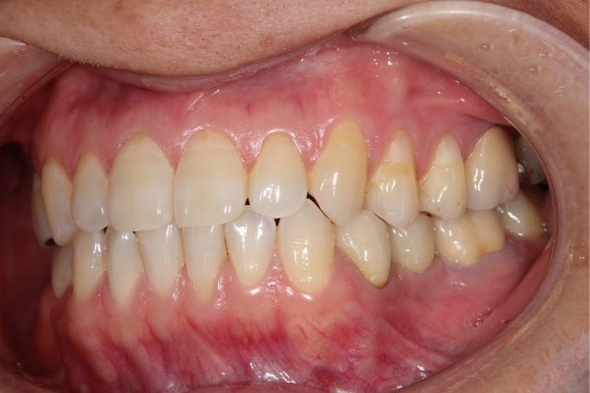
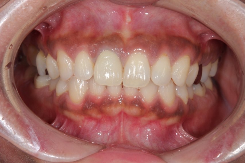
オールセラミッククラウン
費用 18万7千円×2(ファイバーコア、プロビジョナルレストレーション含む)
デメリットとして、他の歯が経年的に変色した際にセラミックは変色しないので色の差が出てくる可能性や、硬い材料なので噛み合う相手の歯が削れる可能性がある。
2014年04月13日
「治療前」
「治療後」
前歯のオールセラミッククラウンによるブリッジ治療
費用 18万7千円×6(ファイバーコア、プロビジョナルレストレーション含む)
デメリットとして、他の歯が経年的に変色した際にセラミックは変色しないので色の差が出てくる可能性や、硬い材料なので噛み合う相手の歯が削れる可能性がある。
2014年04月13日
「治療前」
「治療後」
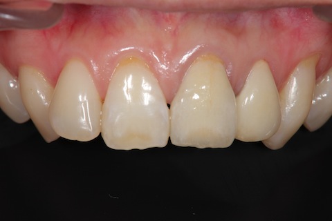
オールセラミッククラウン
費用 18万7千円×2(ファイバーコア、プロビジョナルレストレーション含む)
デメリットとして、他の歯が経年的に変色した際にセラミックは変色しないので色の差が出てくる可能性や、硬い材料なので噛み合う相手の歯が削れる可能性がある。
2014年04月13日
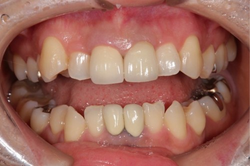
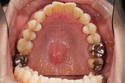
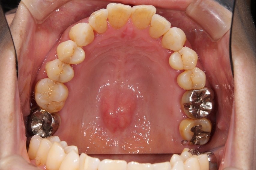
右上の歯が取れた事を理由に来院されました。
他にも歯がない箇所があったり、歯ぐきが腫れたりとお困りでしたので、全体的な治療を提案致しました。
治療を始めるに当たって設計図が必要です。
以下の診断用ワックスアップという設計図で実際治療後どのような歯ができるのか事前に分かります。
この方は最終的にこのような歯になります。
まず、お掃除や残せない歯の抜歯を行ってお口の環境を整えます。
初めに来院されたときよりずいぶん歯ぐきが引き締まりました。
その後、当初予定していた通り矯正治療を行っていきます。
上の歯にインプラントを行います。
事前にCTを撮影し、シミュレーションソフトにてどの位置にインプラントが入るのか診断します。
インプラント治療を行った後です。
その後プロビジョナルレストレーションという仮歯で見た目、使い心地を確認してもらいます。
仮歯でしっかり見た目、噛み心地を確認していただかないと、きちんとした本物の歯を作るのは難しいです。
最終的な歯が入った状態です。
初診の時とは打って変わって自然な歯並びになりました。
『そこの歯だけ白い』とかいう事も無く、自然な元の歯の色にあわせて作っています。
初診のレントゲン写真と治療後のレントゲン写真です。
この方は合計8本のインプラントで対応致しました。
治療後の全体の写真です。
比較して頂くと治療の前後でお口がとても改善しているのが見て取れます。
左が治療前で右が治療後です。
この方は、歯科治療を行う事によって、口元のコンプレックスが取り払われ、よく笑顔を見せていただける様になりました。
よく噛める様になると、噛む筋肉やお口の周りの笑う筋肉等も正常に機能し、お顔立ちもシャープになりました。
歯科治療はお口の中だけでなく、全身の健康、更には心の健康状態まで良くしてくれます。
インプラントおよびオールセラミッククラウン
費用
セラミック治療
187000円×9本(ファイバーコア、プロビジョナルレストレーション『仮歯の事』、オールセラミッククラウン)
インプラント治療
528000円×8本(インプラントガイド、インプラント埋入手術、プロビジョナルレストレーション、オールセラミッククラウン)
デメリットとしてオールセラミッククラウンは、他の歯が経年的に変色した際にセラミックは変色しないので色の差が出てくる可能性や、硬い材料なので噛み合う相手の歯が削れる可能性がある。
インプラントは清掃不良や噛み合わせの力が強くかかるとインプラント周囲炎を起こす可能性があり、インプラントとオールセラミッククラウンを固定しているスクリューが緩む可能性もある。
2014年04月13日
「治療前」
「治療後」
オールセラミッククラウン
費用 18万7千円(ファイバーコア、プロビジョナルレストレーション含む)
デメリットとして、他の歯が経年的に変色した際にセラミックは変色しないので色の差が出てくる可能性や、硬い材料なので噛み合う相手の歯が削れる可能性がある。
2014年04月13日
「治療前」
「治療後」
セラミックオンレー
費用16万5千円
リスクとして歯を削る量が多いため痛みが出る可能性と強い力によって割れる可能性がある。
2014年04月13日
「治療前」
「治療後」
オールセラミッククラウン
費用 18万7千円(ファイバーコア、プロビジョナルレストレーション含む)
デメリットとして、他の歯が経年的に変色した際にセラミックは変色しないので色の差が出てくる可能性や、硬い材料なので噛み合う相手の歯が削れる可能性がある。
セラミックインレー
費用11万円
リスクとして歯を削る量が多いため痛みが出る可能性と強い力によって割れる可能性がある。
2014年04月13日
「治療前」
「治療後」
奥歯5本の審美障害によるemaxオールセラミッククラウンを用いた治療
オールセラミッククラウン
費用 18万7千円×5(ファイバーコア、プロビジョナルレストレーション含む)
デメリットとして、他の歯が経年的に変色した際にセラミックは変色しないので色の差が出てくる可能性や、硬い材料なので噛み合う相手の歯が削れる可能性がある。
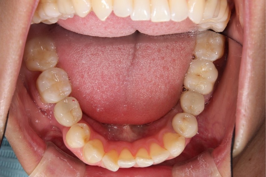
2014年04月13日
「治療前」
「治療後」
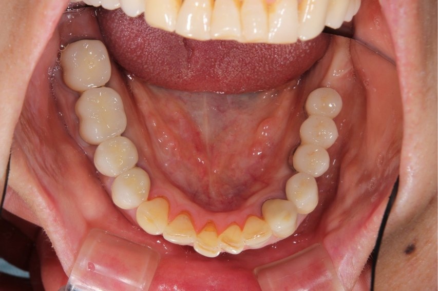
下の奥歯4本の審美障害によるemaxとジルコニアのオールセラミッククラウンを用いた治療
オールセラミッククラウン
費用 18万7千円×4(ファイバーコア、プロビジョナルレストレーション含む)
デメリットとして、他の歯が経年的に変色した際にセラミックは変色しないので色の差が出てくる可能性や、硬い材料なので噛み合う相手の歯が削れる可能性がある。
当院では、患者様の歯に対するお悩み・ご希望を院長が直接お伺いする「個別相談」を実施しています。毎月人数は限定させていただいておりますが、お口のお悩みを何でもご相談いただけます。まずはメールもしくはお電話にて予約を取っていただきご来院ください。
〒814-0101 福岡県福岡市城南区荒江1-32-16
| 月 | 火 | 水 | 木 | 金 | 土 | 日 | 祝 | |
|---|---|---|---|---|---|---|---|---|
| 9:00~13:00 | ○ | ○ | ○ | –∗ | ○ | ○ | – | – |
| 14:00~18:00 | ○ | ○ | ○ | –∗ | ○ | –∗ | – | – |
※土曜日は16:30までの診療になります。
※祝日のある週の木曜日は18:00まで診療。
症例はこちらをご参照ください。