オールセラミッククラウンー前歯の治療(被せ物)【福岡市】
2014年04月13日
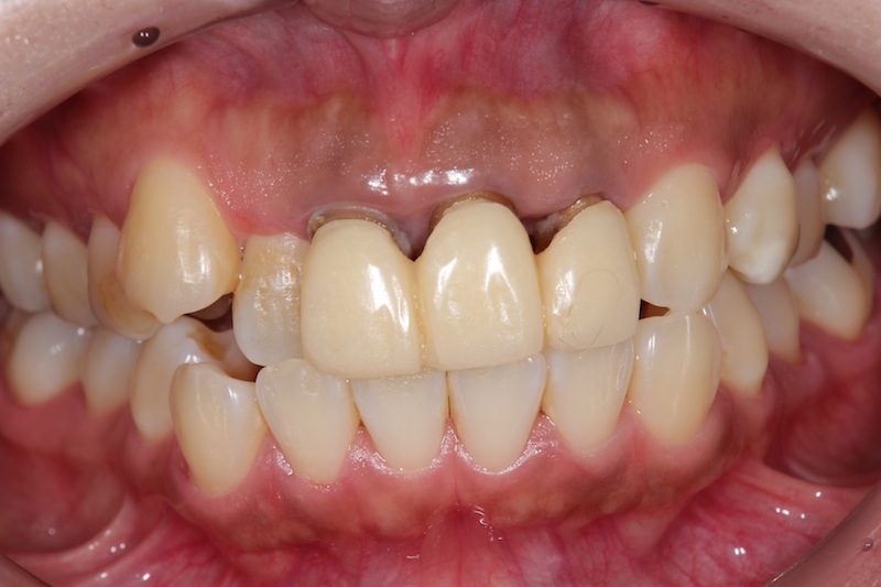
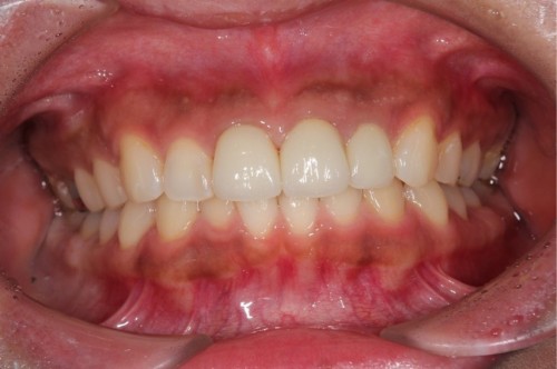
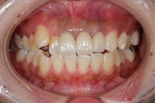
「治療前」
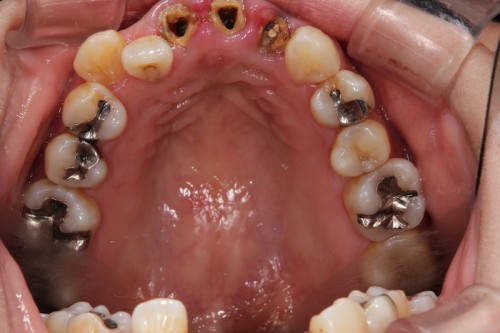
「治療後」
「素材」
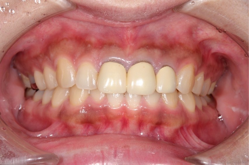
上の歯2本の審美障害によるemaxオールセラミッククラウンを用いた治療
オールセラミッククラウン
費用 18万7千円×2(ファイバーコア、プロビジョナルレストレーション含む)
デメリットとして、他の歯が経年的に変色した際にセラミックは変色しないので色の差が出てくる可能性や、硬い材料なので噛み合う相手の歯が削れる可能性がある。
オンライン診察予約
詳しいご相談内容のある方はお電話にてご予約をお願いします

〒814-0101 福岡県福岡市城南区荒江1-32-16(早良区とも近い歯医者)
2014年04月13日
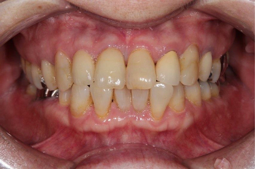
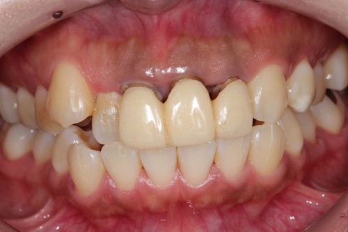
「治療前」
「治療後」
「素材」
上の歯2本の審美障害によるemaxオールセラミッククラウンを用いた治療
オールセラミッククラウン
費用 18万7千円×2(ファイバーコア、プロビジョナルレストレーション含む)
デメリットとして、他の歯が経年的に変色した際にセラミックは変色しないので色の差が出てくる可能性や、硬い材料なので噛み合う相手の歯が削れる可能性がある。
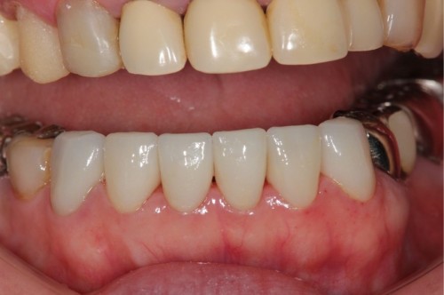
2014年04月13日
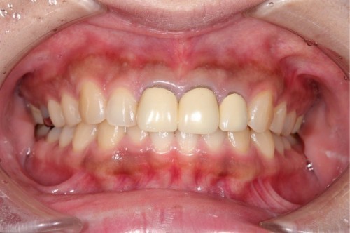
「治療前」
「治療後」
「セラミック素材」
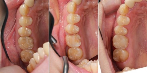
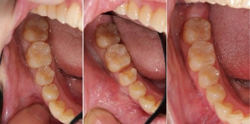
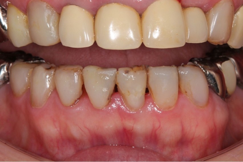
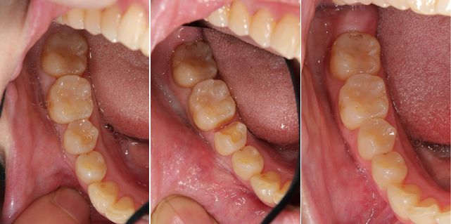
下の歯6本の審美障害によるジルコニアオールセラミッククラウンを用いた治療
費用 187000円×6(ファイバーコア、プロビジョナルレストレーション、オールセラミッククラウン)
デメリットとして、他の歯が経年的に変色した際にセラミックは変色しないので色の差が出てくる可能性や、硬い材料なので噛み合う相手の歯が削れる可能性がある。
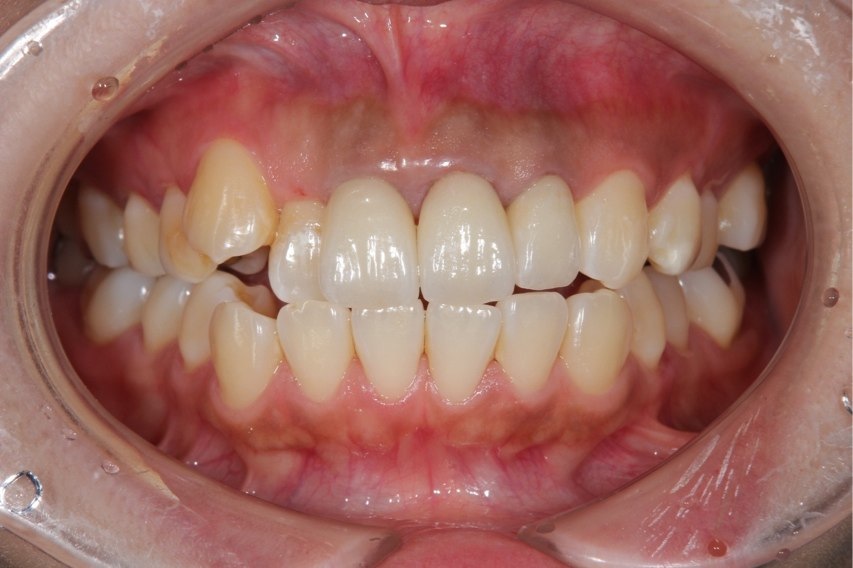
2014年04月13日
「治療前」
「治療後」
上の歯3本の審美障害によるジルコニアオールセラミッククラウンを用いた治療
費用 187000円×3(ファイバーコア、プロビジョナルレストレーション、オールセラミッククラウン)
デメリットとして、他の歯が経年的に変色した際にセラミックは変色しないので色の差が出てくる可能性や、硬い材料なので噛み合う相手の歯が削れる可能性がある。
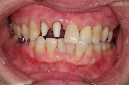
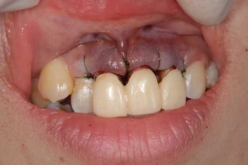
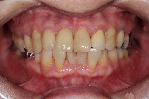
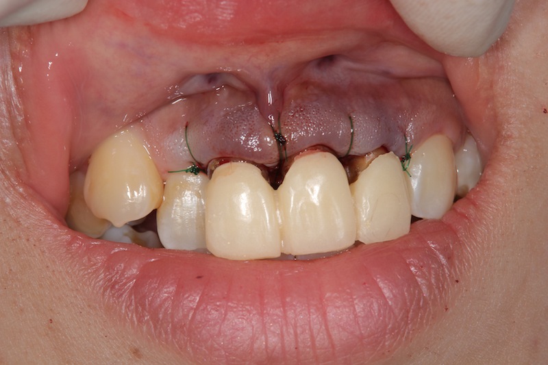
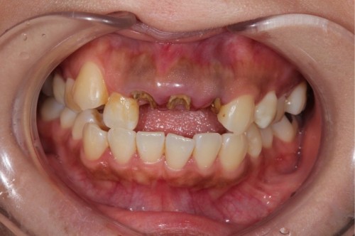
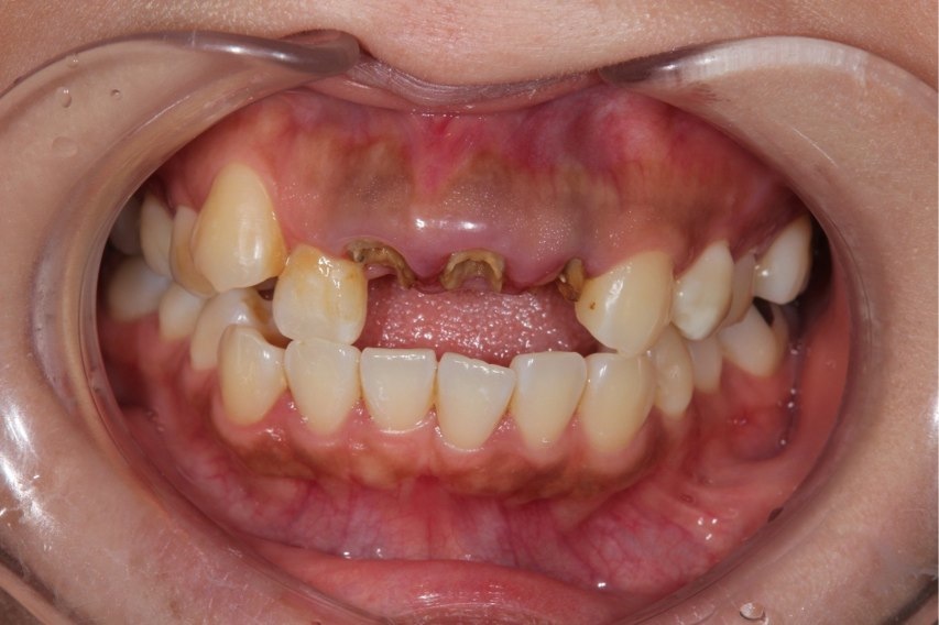
2014年04月13日
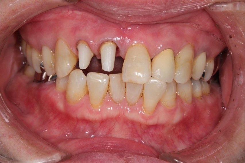
前歯が取れた患者様です。元々セラミックの歯が入っていましたが、中で虫歯が進み、ついに歯が取れてしまいました。
治療の流れを時系列でご紹介します。
上の歯3本の審美障害によるジルコニアオールセラミッククラウンを用いた治療
費用 187000円×3(ファイバーコア、プロビジョナルレストレーション、オールセラミッククラウン)
デメリットとして、他の歯が経年的に変色した際にセラミックは変色しないので色の差が出てくる可能性や、硬い材料なので噛み合う相手の歯が削れる可能性がある。
2014年04月13日
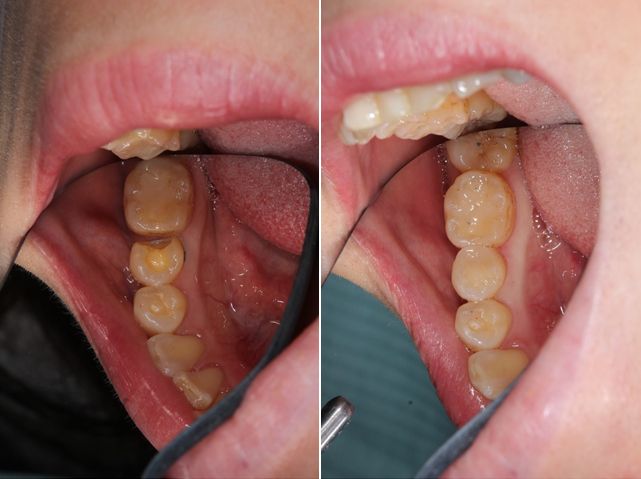
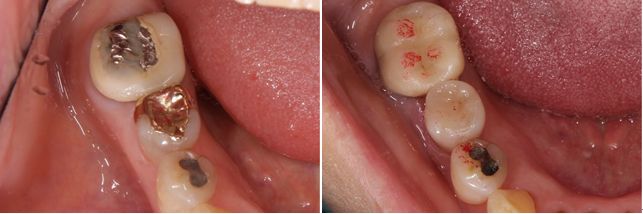
ハイブリッドインレーが劣化してやり変える事になりました。左の写真で歯との隙間、透明感、歯の色において悪くなってきています。このままでは、歯にダメージを与えてしまいます。オールセラミックインレーでの治療後の写真が右です。透明感もあり歯と同化しています。変色もしない為、半永久的にお口の中で機能し続けます。
セラミックインレー
費用11万円
リスクとして歯を削る量が多いため痛みが出る可能性と強い力によって割れる可能性がある。
2014年04月13日
セラミックオンレー
費用16万5千円
リスクとして歯を削る量が多いため痛みが出る可能性と強い力によって割れる可能性がある。
2014年04月13日
セラミックインレー
費用11万円
リスクとして歯を削る量が多いため痛みが出る可能性と強い力によって割れる可能性がある。
オールセラミッククラウン
費用 18万7千円(ファイバーコア、プロビジョナルレストレーション含む)
デメリットとして、他の歯が経年的に変色した際にセラミックは変色しないので色の差が出てくる可能性や、硬い材料なので噛み合う相手の歯が削れる可能性がある。
2014年04月13日
セラミックインレー
費用11万円
リスクとして歯を削る量が多いため痛みが出る可能性と強い力によって割れる可能性がある。
2014年04月13日
術前術後です。インレーの削る所が歯ぐきに近い場合は、圧排糸を歯と歯ぐきの間に挿入して境目がわかる様にしておかなければよい治療は行えません。
セラミックインレー
費用11万円
リスクとして歯を削る量が多いため痛みが出る可能性と強い力によって割れる可能性がある。
2014年04月13日
Normal
0
0
2
false
false
false
EN-US
JA
X-NONE
/* Style Definitions */
table.MsoNormalTable
{mso-style-name:標準の表;
mso-tstyle-rowband-size:0;
mso-tstyle-colband-size:0;
mso-style-noshow:yes;
mso-style-priority:99;
mso-style-parent:””;
mso-padding-alt:0mm 5.4pt 0mm 5.4pt;
mso-para-margin:0mm;
mso-para-margin-bottom:.0001pt;
mso-pagination:widow-orphan;
font-size:10.0pt;
font-family:”Times New Roman”,”serif”;
border:none;}
右の写真ですが他院で治療したハイブリッドインレーが入っていました。歯との隙間が目立ってきていた為、オールセラミックインレーで治療する事にしました。境目もほとんどなく、安定してお口の中で機能しています。
セラミックインレー
費用11万円
リスクとして歯を削る量が多いため痛みが出る可能性と強い力によって割れる可能性がある。
当院では、患者様の歯に対するお悩み・ご希望を院長が直接お伺いする「個別相談」を実施しています。毎月人数は限定させていただいておりますが、お口のお悩みを何でもご相談いただけます。まずはメールもしくはお電話にて予約を取っていただきご来院ください。
〒814-0101 福岡県福岡市城南区荒江1-32-16
| 月 | 火 | 水 | 木 | 金 | 土 | 日 | 祝 | |
|---|---|---|---|---|---|---|---|---|
| 9:00~13:00 | ○ | ○ | ○ | –∗ | ○ | ○ | – | – |
| 14:00~18:00 | ○ | ○ | ○ | –∗ | ○ | –∗ | – | – |
※土曜日は16:30までの診療になります。
※祝日のある週の木曜日は18:00まで診療。
症例はこちらをご参照ください。