奥歯の銀歯をセラミックインレー(白い歯)に変更【福岡市】
2014年04月13日
術前術後です。奥歯の銀歯が気になるとの患者様でしたが、このようにセラミックインレーに変更しましたが、大変喜ばれました。
セラミックインレー
費用11万円
リスクとして歯を削る量が多いため痛みが出る可能性と強い力によって割れる可能性がある。
オンライン診察予約
詳しいご相談内容のある方はお電話にてご予約をお願いします

〒814-0101 福岡県福岡市城南区荒江1-32-16(早良区とも近い歯医者)
2014年04月13日
術前術後です。奥歯の銀歯が気になるとの患者様でしたが、このようにセラミックインレーに変更しましたが、大変喜ばれました。
セラミックインレー
費用11万円
リスクとして歯を削る量が多いため痛みが出る可能性と強い力によって割れる可能性がある。
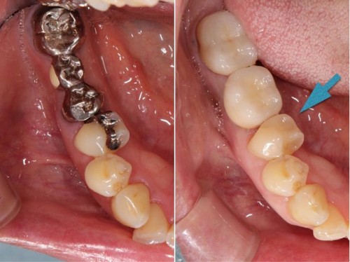
2014年04月13日
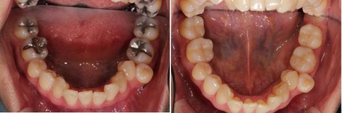
術前術後です。奥歯2本をオールセラミックインレーで治療しました。手前の銀歯はダイレクトボンディングを行いました。
セラミックインレー
費用11万円
リスクとして歯を削る量が多いため痛みが出る可能性と強い力によって割れる可能性がある。
ダイレクトボンディング
費用5万円
リスクとして欠ける可能性がある(修復可能)。
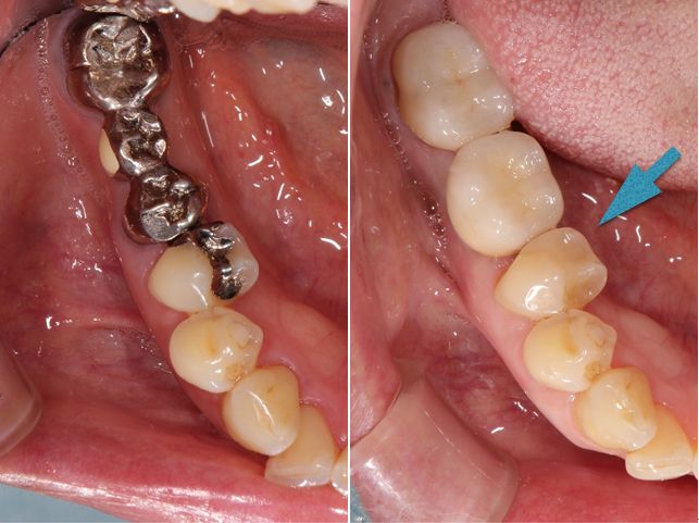
2014年04月13日
術前術後です。矢印の部分がオールセラミックインレーです。
セラミックインレー
費用11万円
リスクとして歯を削る量が多いため痛みが出る可能性と強い力によって割れる可能性がある。
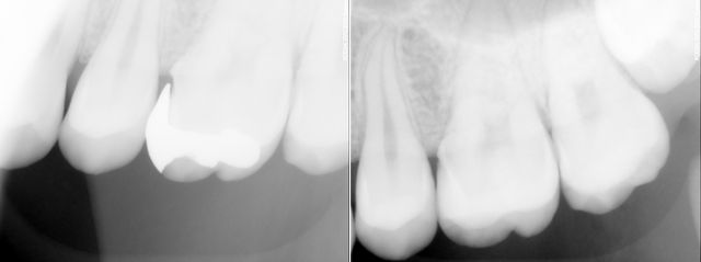
2014年04月13日
左上の銀歯をオールセラミックで治療しました。
その時のレントゲン写真です。銀歯の時は歯との隙間がずいぶん大きい事がわかります。セラミックインレーに変えて歯との隙間もなくなり、今後はいい状態が保てます。
セラミックインレー
費用11万円
リスクとして歯を削る量が多いため痛みが出る可能性と強い力によって割れる可能性がある。
2014年04月13日
セラミックインレー
費用11万円
リスクとして歯を削る量が多いため痛みが出る可能性と強い力によって割れる可能性がある。
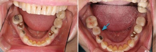
2014年04月13日
セラミックオンレー
費用16万5千円
リスクとして歯を削る量が多いため痛みが出る可能性と強い力によって割れる可能性がある。
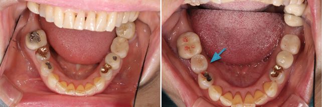
2014年04月13日
セラミックインレー
費用11万円
リスクとして歯を削る量が多いため痛みが出る可能性と強い力によって割れる可能性がある。
2014年04月13日
セラミックインレー
費用11万円
リスクとして歯を削る量が多いため痛みが出る可能性と強い力によって割れる可能性がある。
2014年04月13日
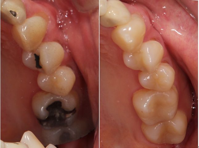
オールセラミックインレーの術前術後です。左の写真は削った後です。歯の周りに黒い線が見えますが、圧排糸という歯と歯ぐきの境目を明瞭にする為の物です。右が術後ですが、歯の色と同化しており、ほとんど区別がつきません。また、汚れをはじく性質を持っているため、歯ぐきに炎症が起きにくいです。変色が起きないため半永久的に、この状態を保ってくれます。
Normal
0
0
2
false
false
false
EN-US
JA
X-NONE
/* Style Definitions */
table.MsoNormalTable
{mso-style-name:標準の表;
mso-tstyle-rowband-size:0;
mso-tstyle-colband-size:0;
mso-style-noshow:yes;
mso-style-priority:99;
mso-style-parent:””;
mso-padding-alt:0mm 5.4pt 0mm 5.4pt;
mso-para-margin:0mm;
mso-para-margin-bottom:.0001pt;
mso-pagination:widow-orphan;
font-size:10.0pt;
font-family:”Times New Roman”,”serif”;
border:none;}
銀歯を外してセラミックインレーを装着した状態です。
Normal
0
0
2
false
false
false
EN-US
JA
X-NONE
セラミックインレー
費用11万円
リスクとして歯を削る量が多いため痛みが出る可能性と強い力によって割れる可能性がある。
2014年04月13日
セラミックインレー
費用11万円
リスクとして歯を削る量が多いため痛みが出る可能性と強い力によって割れる可能性がある。
当院では、患者様の歯に対するお悩み・ご希望を院長が直接お伺いする「個別相談」を実施しています。毎月人数は限定させていただいておりますが、お口のお悩みを何でもご相談いただけます。まずはメールもしくはお電話にて予約を取っていただきご来院ください。
〒814-0101 福岡県福岡市城南区荒江1-32-16
| 月 | 火 | 水 | 木 | 金 | 土 | 日 | 祝 | |
|---|---|---|---|---|---|---|---|---|
| 9:00~13:00 | ○ | ○ | ○ | –∗ | ○ | ○ | – | – |
| 14:00~18:00 | ○ | ○ | ○ | –∗ | ○ | –∗ | – | – |
※土曜日は16:30までの診療になります。
※祝日のある週の木曜日は18:00まで診療。
症例はこちらをご参照ください。