審美歯科-銀歯から白いセラミックへ【福岡市城南区、早良区】
2014年04月13日
セラミックインレー
費用11万円
リスクとして歯を削る量が多いため痛みが出る可能性と強い力によって割れる可能性がある。
オンライン診察予約
詳しいご相談内容のある方はお電話にてご予約をお願いします

〒814-0101 福岡県福岡市城南区荒江1-32-16(早良区とも近い歯医者)
2014年04月13日
セラミックインレー
費用11万円
リスクとして歯を削る量が多いため痛みが出る可能性と強い力によって割れる可能性がある。
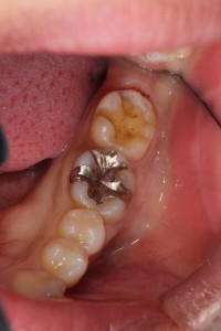
2014年04月13日
セラミックインレー
費用11万円
リスクとして歯を削る量が多いため痛みが出る可能性と強い力によって割れる可能性がある。
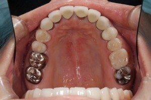
2014年04月13日
セラミックインレー
費用11万円
リスクとして歯を削る量が多いため痛みが出る可能性と強い力によって割れる可能性がある。
当院では、患者様の歯に対するお悩み・ご希望を院長が直接お伺いする「個別相談」を実施しています。毎月人数は限定させていただいておりますが、お口のお悩みを何でもご相談いただけます。まずはメールもしくはお電話にて予約を取っていただきご来院ください。
〒814-0101 福岡県福岡市城南区荒江1-32-16
| 月 | 火 | 水 | 木 | 金 | 土 | 日 | 祝 | |
|---|---|---|---|---|---|---|---|---|
| 9:00~13:00 | ○ | ○ | ○ | –∗ | ○ | ○ | – | – |
| 14:00~18:00 | ○ | ○ | ○ | –∗ | ○ | –∗ | – | – |
※土曜日は16:30までの診療になります。
※祝日のある週の木曜日は18:00まで診療。
症例はこちらをご参照ください。